Aortic Valve Replacement




बीआईएमआर हॉस्पिटल्स में 23 वर्षीय पुरुष रोगी का किया गया एओर्टिक वाल्व रिप्लेसमेंट - डॉ. शैलेश कुमार यादव, सीनियर कार्डियक सर्जन

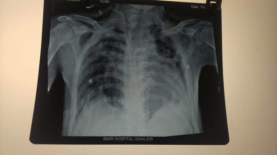
डॉ. शैलेश कुमार यादव, सीनियर कार्डियक सर्जन, बीआईएमआर हॉस्पिटल्स ने एक चुनौतीपूर्ण और जटिल ऑपरेशन किया, 23 वर्षीय पुरुष रोगी का एओर्टिक वाल्व रिप्लेसमेंट किया (EF= 45%, Aortic वाल्व में सीवियर लीकेज था) जिसमें दोनों लंग्स के मल्टीड्रग रेजिस्टेंस टीबी (एमडीआर-टीबी) थे। बायीं तरफ का फेफड़ा पूरी तरह से नष्ट हो गया है और केवल दांयी तरफ का फेफड़ा केवल 30% काम कर रहा था। ऐसी स्थिति में मरीज को ऑपरेशन के बाद वेंटीलेटर सपोर्ट से बहार निकालना काफी मुश्किल था । इस वजह से मरीज को दिल्ली एवं चंडीगढ़ के डॉक्टर ने सर्जरी करने से मना कर दिया था ।

बीआईएमआर हॉस्पिटल्स के सीनियर कार्डियक सर्जन डॉ. शैलेश कुमार यादव एवं उनकी टीम ने मरीज को ऑपरेशन के बाद उसी दिन केवल 4 घंटे में ही वेंटीलेटर सपोर्ट से बाहर निकल लिया जो की अपने आप में बड़ी बात है । बिना किसी सपोर्ट के मरीज अब पूरी तरह से स्वस्थ है और कुछ दिनों में बीआईएमआर हॉस्पिटल्स से डिस्चार्ज कर दिया जायेगा ।