बिना किसी चीरे के मस्तिष्क की पिछली धमनी की सर्जरी




ग्वालियर चंबल क्षेत्र में पहली बार बीआईएमआर हॉस्पिटल में बिना किसी चीरे के मस्तिष्क की पिछली धमनी की सर्जरी सफलतापूर्वक की गई

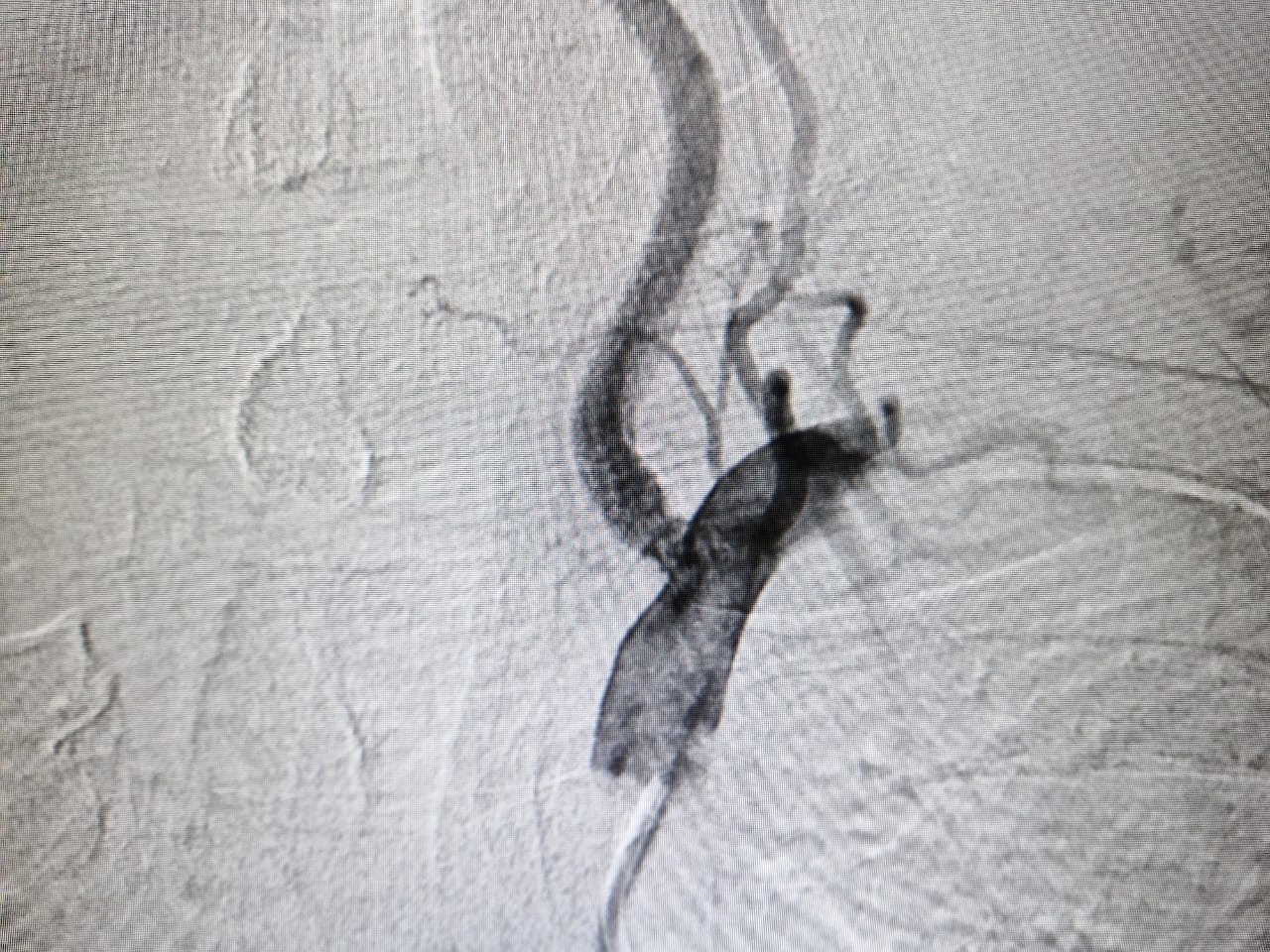
विगत दिवस भिंड निवासी 60 वर्षीय मरीज जिसको स्ट्रोक हुआ था, बीआईएमआर हॉस्पिटल में आया बीआईएमआर हॉस्पिटल के वरिष्ठ न्यूरोलॉजिस्ट एवं स्ट्रोक स्पेशलिस्ट डॉ. सौरभ गुप्ता ने मरीज को देखा और तुरंत ही उनकी एमआरआई कराई, जिसमें की मरीज के मस्तिष्क में स्ट्रोक का होना पाया गया डॉ. सौरभ गुप्ता ने तुरंत ही मरीज का डीएसए (मस्तिष्क एंजियोग्राफी) किया जिसमें उसके बाएं कशेरुका (वर्टेब्रल) धमनी में बाधा (95% स्टेनोसिस) था। संभावना थी कि यदि इलाज नहीं किया जाता है तो धमनी का पूरा रुकावट हो सकता है और रोगी को दूसरा स्ट्रोक हो सकता है। गंभीरता को देखते हुए डॉक्टर ने अत्याधुनिक न्यूरोइंटरवेंशन तकनीक की मदद से मरीज के मस्तिष्क की पिछली धमनी में Stenting की गई । ऑपरेशन के दौरान रोगी की न्यूरोलॉजिकल स्थिति की निगरानी रखने के लिए रोगी को जागृत रखा गया व ऑपरेशन के दौरान डॉक्टर लगातार मरीज से बात करते रहे ।

न्यूरोइंटरवेंशन, स्ट्रोक का एक आधुनिक उपचार है।

प्रक्रिया के दौरान न्यूनतम रक्त हानि हुई ।

यह एक कठिन ऑपरेशन था क्योंकि मस्तिष्क की पीछे की धमनियां पतली कैलिबर की होती हैं और उनकी पहुंच मुश्किल होती है।

पहले इस तरह की न्यूरोइंटरवेंशन प्रक्रियाएं दिल्ली और अन्य महानगरों में संभव थीं लेकिन अब उन्हें डॉ. सौरभ गुप्ता और टीम द्वारा बीआईएमआर अस्पताल ग्वालियर में संभव बनाया गया है।

स्ट्रोक / पक्षाघात का इलाज किया जा सकता है यदि उपचार समय पर शुरू किया जाता है। आम जनता को जल्द से जल्द स्ट्रोक के लक्षणों की पहचान करनी चाहिए ताकि समय पर उपचार शुरू किया जा सके।