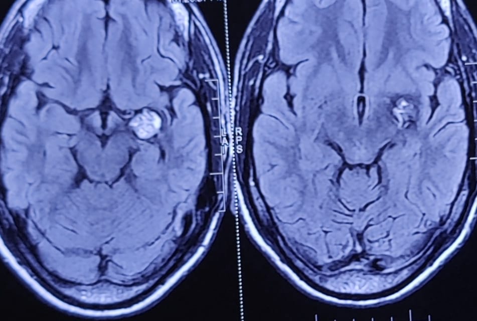
Left Medial Temporal Cavernoma




Surgery & Treatment Done by : Dr. Vipul Agrawal (Senior Neurosurgeon), BIMR Hospitals & Team

21 y/M, with recurrent severe headache and seizures, diagnosed with left medial temporal cavernoma, abutting Left MCA. And advised surgery+/- GKRS at higher center.

Patient operated 3 months back, with complete excision of cavernoma and no post operative deficits, and complete resolution of symptoms.

Repeat MRI at 3 months shows no residual lesion.

Cavernomas-- complete excision is always the gold standard modality of choice over Gamma Knife, even in eloquent areas.